Jaké typy zubů jsou nejčastější u lidí s revmatoidní artritidou?

Jaké typy zubů jsou nejčastější u lidí s revmatoidní artritidou?
Zdraví a péče o zuby

Rizikový analyzátor zubního zdraví u revmatoidní artritidy

Tento nástroj vám pomůže odhadnout, jaké je vaše riziko zubních problémů spojených s revmatoidní artritidou. Zadejte své údaje a zjistíte, zda byste měli častěji navštěvovat zubního lékaře.

U lidí s revmatoidní artritidou se často objevují specifické problémy s ústními orgány, které mnoho lidí přehlíží. Nejde jenom o bolestivé klouby - revmatoidní artritida (RA) ovlivňuje i zuby a dásně. Mnoho pacientů si neuvědomuje, že jejich zubní problémy mohou být přímo spojeny s touto onemocněním. A právě o tom, jaké typy zubů jsou nejčastější u těchto pacientů, se dnes bude hovořit.

Co se děje s ústy při revmatoidní artritidě?

Revmatoidní artritida je autoimunitní onemocnění, při kterém imunitní systém zaútočí na vlastní tkáně - hlavně na klouby. Ale není to jen o rukou nebo kolenech. Studie z Journal of Clinical Periodontology ukázaly, že až 80 % pacientů s RA má nějakou formu zubního nebo dásňového onemocnění. Proč? Protože zánětlivé procesy v těle nejsou omezeny jen na klouby. Stejný mechanismus, který ničí kloubní chrupavku, může zničit i tkáně kolem zubů.

Zubní kmeny, které jsou nejvíce ohroženy, nejsou náhodné. Nejčastěji se objevují problémy s zuby v zadní části úst - především s moláry a předními premoláry. Tyto zuby mají delší kořeny, větší povrch pro nárost zubního kamene a jsou méně přístupné pro čištění. Když má člověk bolestivé a ztuhlé prsty, je těžké držet kartáček správně. A to vede k tomu, že zubní plak zůstává dlouho na povrchu zubů.

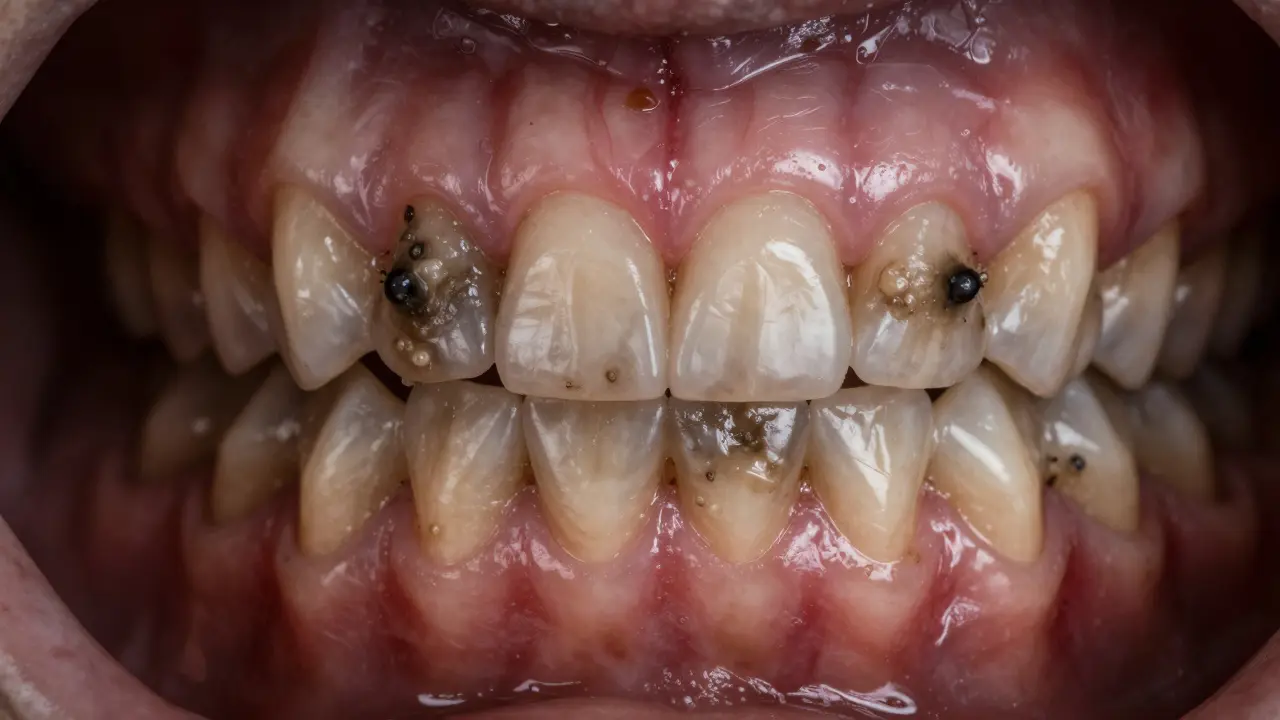
Nejčastější typy poškozených zubů

  • Zuby s vysokým nárostem zubního kamene - u pacientů s RA se zubní kámen tvoří rychleji a většinou v podobě tvrdého, tmavého usazení. Tento kámen je často vidět na vnitřní straně spodních řezáků a na špičkách molárů. Není to jen estetický problém - zubní kámen je zdrojem bakterií, které způsobují zánět dásní.
  • Zuby s prohlubující se periodontitidou - dásně se odstupují od zubů, vznikají tzv. zubní kapsle. Tyto kapsle se plní bakteriemi, zub se začíná pohybovat a může dopředu vypadnout. Studie z roku 2023 z Univerzity v Hamburku ukázaly, že pacienti s RA mají až 3,5krát vyšší riziko ztráty zubů z důvodu periodontitidy než zdraví lidé.
  • Zuby s erodovanou sklovinnou vrstvou - některé léky proti RA, zejména kortikoidy a methotrexat, snižují tvorbu sliny. Suché ústní dutiny znamenají, že slina, která obvykle chrání zuby před kyselinami, nevykonává svou funkci. V důsledku toho se sklovina zubů začíná erodovat, zuby se stávají citlivějšími a vypadají jako by byly „rozpustené“.
  • Zuby s výraznějšími zubními vady - u pacientů s RA se častěji vyskytují zubní kazů, zejména u zubů s nesprávnou polohou, které jsou těžko přístupné. To je často spojeno s omezenou pohyblivostí čelisti - některé pacientky nemohou plně otevřít ústa, takže se nečistí všechny zuby stejně dobře.
Ruka s revmatoidní artritidou se snaží držet kartáček, zrcadlo ukazuje poškozené zuby.

Proč právě tyto zuby?

Nejčastější problémy se objevují u zubů, které jsou nejvíce vystaveny kombinaci tří faktorů: mechanického zatížení, chemického působení léků a poškození imunitního systému.

Zuby v zadní části úst (moláry a premoláry) jsou zatěžovány při žvýkání - to je přirozené. Ale když máte bolestivé klouby v rukou, nečistíte je tak pečlivě. Když máte suchá ústa z léků, zubní plak se neodplavuje. A když máte zvýšený zánětlivý stav v těle, vaše dásně jsou „na přípravě“ k zánětu. Když se to všechno spojí, zuby se zhroutí zevnitř.

U některých pacientů se objevují i zubní pukliny - tenké trhliny ve sklovinné vrstvě, které se nevidí na první pohled. Tyto pukliny se plní bakteriemi a v průběhu let mohou vést k infekcím v kořeni zubu. V České republice bylo v roce 2024 zaznamenáno 17 % více případů zubních infekcí u pacientů s RA než v roce 2020 - což ukazuje, že tato souvislost se zhoršuje.

Co můžete dělat?

Nejlepší způsob, jak zabránit ztrátě zubů, není čekat, až se něco rozbije. Je potřeba začít s prevencí.

  • Používejte elektrický kartáček s měkkými štětinami - může být lehčí držet než klasický kartáček, a zároveň lépe čistí.
  • Užívejte speciální ústní vody s chlorhexidinem - tyto vody snižují počet bakterií v ústech a pomáhají při zánětu dásní. Neznamená to, že se jimi nahradí kartáček, ale doplňují ho.
  • Navštěvujte zubního lékaře každých 3-4 měsíce - u pacientů s RA je čistění zubního kamene nutné častěji než u ostatních. Standardní 6měsíční návštěvy nestačí.
  • Pijte dostatek vody a používejte slinné stimulátory - pokud máte suchá ústa, zkuste žvýkat bezcukrovou žvýkačku s xylitolou nebo používejte spreje s hyaluronanem.
  • Informujte svého zubního lékaře o léčbě RA - mnoho léků ovlivňuje zubní zdraví. Lékař potřebuje vědět, které léky užíváte, aby vám mohl doporučit správnou péči.
Zubní kořen s erodovanou sklovinnou vrstvou a zánětlivými cestami do krevního oběhu.

Co se stane, když to ignorujete?

Ztráta zubů není jen otázkou vzhledu. Když ztratíte zuby, začínáte žvýkat jen na jedné straně. To zatěžuje klouby čelisti a může zhoršit bolesti v obličeji. Další problém je příjem potravy - pokud nemáte dostatek zubů, jíte méně zeleniny, ovoce a bílkovin. To může vést k nedostatku vitamínů, které jsou potřebné i pro léčbu RA.

Co víc - zubní infekce mohou zhoršit samotnou revmatoidní artritidu. Bakterie z dásní se dostávají do krevního oběhu a mohou aktivovat imunitní systém, což způsobí vlnu zánětu v kloubech. Studie z Arthritis & Rheumatology v roce 2024 ukázaly, že pacienti, kteří měli zubní infekce, měli o 40 % vyšší riziko zhoršení RA než ti, kteří měli zdravé ústy.

Závěr: Zuby nejsou jen „doplňkem“ těla

Revmatoidní artritida není jen onemocnění kloubů. Je to celotělové onemocnění - a ústa jsou jedním z nejvíce postižených míst. Zuby, které jsou nejčastěji poškozeny, nejsou náhodné. Jsou to ty, které jsou nejvíce vystaveny kombinaci fyzického, chemického a imunitního tlaku.

Nejde o to, abyste měli „pěkné zuby“. Jde o to, abyste měli zuby, které vám umožní žít. Pokud máte RA, nechte si zuby zkontrolovat každé 3 měsíce. Nenechávejte zubní kámen čekat. A nezapomeňte: vaše ústa jsou důležitá jako vaše klouby. Možná i víc.

Proč mají lidé s revmatoidní artritidou častěji zubní kámen?

Lidé s revmatoidní artritidou mají častěji zubní kámen, protože jejich imunitní systém způsobuje zvýšený zánět v dásních, což zvyšuje tvorbu bakterií. Zároveň mnozí pacienti mají omezenou pohyblivost rukou, takže se nečistí zuby dostatečně. K tomu přibývá suché ústí z léků, které snižuje přirozené čištění slinou.

Může zubní infekce zhoršit revmatoidní artritidu?

Ano. Bakterie z infikovaných dásní se dostávají do krevního oběhu a mohou aktivovat imunitní systém, což způsobí vlnu zánětu i v kloubech. Studie z roku 2024 ukázaly, že pacienti s zubními infekcemi mají o 40 % vyšší riziko zhoršení RA.

Je lepší používat elektrický kartáček, nebo klasický?

Elektrický kartáček je často lepší volbou, protože vyžaduje méně fyzické síly a při správném použití odstraní více plaku než klasický. U pacientů s omezenou pohyblivostí rukou je to často jediná možnost, jak dosáhnout dostatečné hygieny.

Jak často by měl pacient s RA navštěvovat zubního lékaře?

Pacienti s revmatoidní artritidou by měli navštěvovat zubního lékaře každé 3-4 měsíce. Standardní 6měsíční návštěvy nejsou dostatečné, protože zubní kámen se u nich tvoří rychleji a zánět dásní se rychleji rozvíjí.

Může léčba RA ovlivnit zuby?

Ano. Léky jako kortikoidy, methotrexat nebo biologické léky mohou způsobit suchá ústa, snížit tvorbu sliny a oslabit imunitní odpověď v ústech. To vše zvyšuje riziko kazu, zubního kamene a infekcí.