Jaké typy zubů jsou nejčastější u kuřáků? Vliv kouření na zubní zdraví

Jaké typy zubů jsou nejčastější u kuřáků? Vliv kouření na zubní zdraví
Zdraví a péče o zuby

Výpočet rizika ztráty zubů pro kuřáky

Tento nástroj vám pomůže odhadnout, jaké riziko ztráty zubů máte na základě vašeho kouření. Podle výzkumu je riziko ztráty zubů u kuřáků až 60 % vyšší než u nekuřáků.

Výsledek výpočtu

Vaše riziko ztráty alespoň jednoho zubu do věku 50 let:

Vaše riziko ztráty 3 nebo více zubů do věku 40 let:

Porovnání s nekuřáky: Vaše riziko je než u nekuřáků

Poznámka: Tyto odhady jsou založeny na výzkumech a výsledky jsou přibližné. Pravé riziko závisí na mnoha dalších faktorech.

Co můžete udělat?

  • 1 Přestat kouřit je nejlepší řešení
  • 2 Navštěvujte zubaře každých 6 měsíců
  • 3 Čistěte zuby dvakrát denně a používejte zubní nit

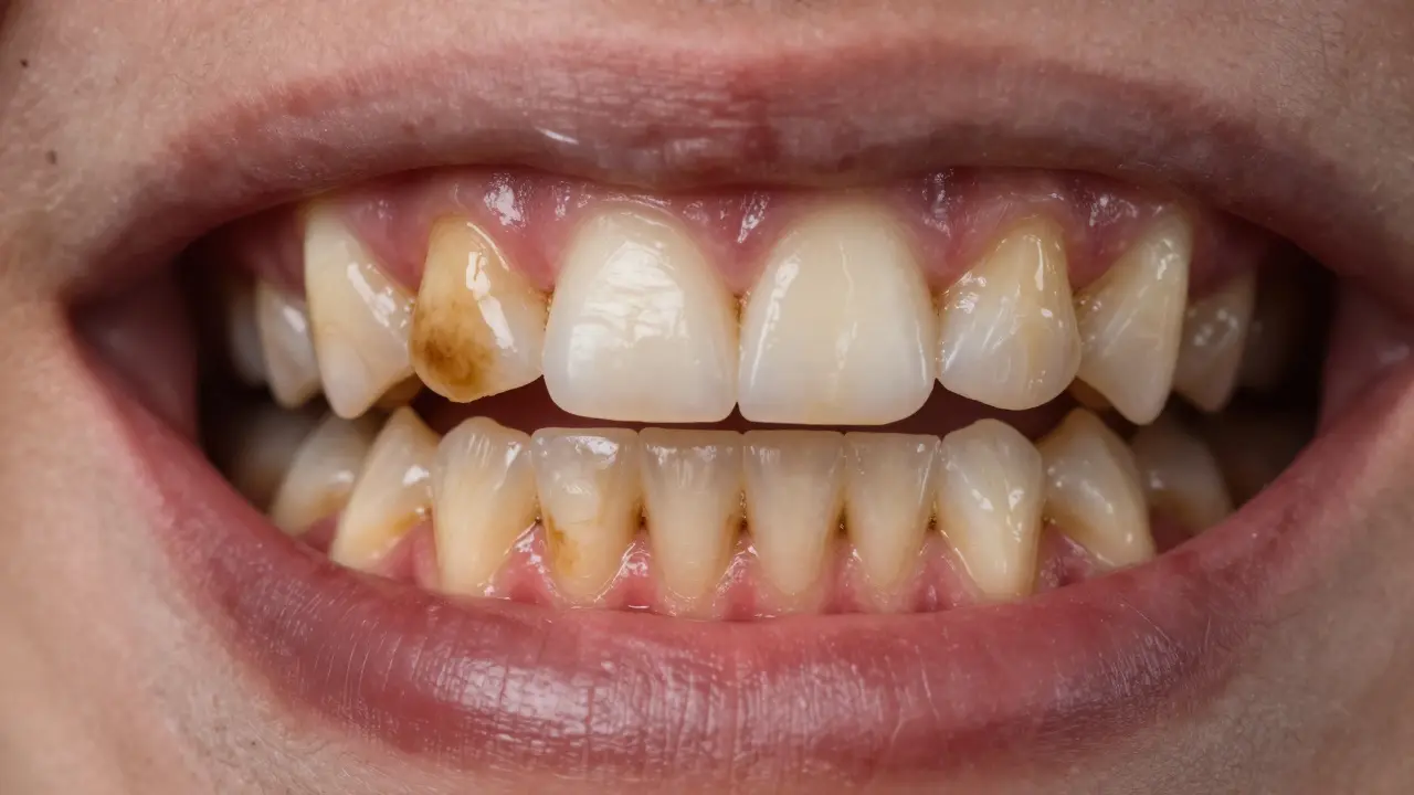
U kuřáků se zuby často mění dřív, než si člověk uvědomí, že je to kvůli tabáku. Nejčastější problémy nejsou jen estetické - skvrny na zubech nebo zápach z úst. Skutečně nebezpečné je to, co se děje pod povrchem: zubní kámen, záněty dásní, ztráta kosti kolem zubů a nakonec - ztráta samotných zubů. Když člověk kouří, jeho zuby nejsou jen špinavé. Jsou postupně ničené.

Zubní skvrny - první známka poškození

Nejviditelnější příznak je tmavá barva zubů. Kouření způsobuje žluté, hnědé nebo dokonce černé skvrny, které se hluboce vrypou do skloviny. Tyto skvrny nejsou jen na povrchu - tabák obsahuje nikotin a smůlu, které pronikají do mikrotrhlin v zubech. Dokonce i lehký kuřák, který kouří pět cigaret denně, může mít po pěti letech zuby o dva až tři odstíny tmavší než nekuřák. Profesionální bělení pomůže, ale jen dočasně. Pokud pokračuje v kouření, skvrny se vracejí za několik týdnů.

Zubní kámen - neviditelný nepřítel

U kuřáků se zubní kámen tvoří rychleji a je tvrdší než u nekuřáků. Když kouříte, zvyšujete množství plaku - tenké vrstvy bakterií, která se usazuje na zubech. Tabák způsobuje, že sliny jsou méně efektivní ve výplachovém účinku, takže plak neodplaví, ale ztuhne. Tento zubní kámen je černý nebo tmavě hnědý, protože se v něm ukládají částice tabáku. Většina lidí si ho nevšimne, protože je pod dásními. Ale právě tam způsobuje největší škodu - zánět dásní a postupnou destrukci kosti kolem zubů.

Zánět dásní a parodontitida - když zuby začnou padat

Kouření je jedním z největších rizikových faktorů pro parodontitidu - závažné onemocnění, při kterém se ztrácí kost, která drží zuby na místě. U kuřáků je riziko parodontitidy až třikrát vyšší než u nekuřáků. Bakterie v plaku způsobují zánět dásní, ale tabák potlačuje imunitní reakci těla. To znamená, že zánět neukáže, že je tam problém - žádná bolest, žádný krvácení, jen tichá destrukce. Když se už objeví bolest nebo zub se začne hýbat, je příliš pozdě. Kost už není možné obnovit.

Přehled čelisti s černým zubním kamenem a rozpadající se kostí pod dásněmi.

Ztráta zubů - nevyhnutelný důsledek

Podle studie z roku 2023 publikované v Journal of Clinical Periodontology má kuřák o 60 % vyšší šanci na ztrátu alespoň jednoho zubu do věku 50 let než nekuřák. U těch, kteří kouří více než 20 cigaret denně, je riziko ztráty tří nebo více zubů do 40 let přibližně 40 %. Nejčastěji padají zuby v zadní části úst - molaře a přední zuby v dolní čelisti. To je proto, že tam se nejvíce hromadí plak a kámen, a zároveň je tam nejtenčí kost. Zuby nejsou ztraceny kvůli káře - jsou ztraceny kvůli tomu, že dásně a kost už je neudržují.

Co se děje s implantáty a protézami?

Když kuřák ztratí zub a chce si dát implantát, má o 20-30 % vyšší riziko selhání. Implantát potřebuje zdravou kost a dásně, aby se přirozeně spojil s tělem. Kouření způsobuje špatnou krevní cirkulaci a zpomaluje hojení. Implantát může být vložen, ale pokud člověk pokračuje v kouření, tělo ho odmítne. Stejně tak protézy - u kuřáků se častěji posouvají, způsobují bolesti a rychleji se opotřebovávají, protože dásně jsou zánětlivé a měkké.

Muž drží zubní kartáček a cigaretu, zrcadlo odhaluje jeho dřívější zdravý úsměv.

Je možné zpomalit nebo zastavit poškození?

Ano, ale jen když přestanete kouřit. Když přestanete, tělo začne obnovovat samo sebe. Po šesti měsících se krevní oběh v dásních zlepší. Po roce se riziko parodontitidy sníží o polovinu. Po deseti letech je riziko ztráty zubů stejné jako u nekuřáka. Ale pokud pokračujete v kouření, žádná zubní péče to nezastaví. Čistění zubů, nite, zubní pasty s účinkem proti skvrnám - všechno to pomáhá jen do určité míry. Bez přestání s kouřením je to jako čistit dům, když venku prší.

Co můžete dělat, když ještě kouříte?

Nejlepší řešení je přestat. Ale pokud ještě nejste připraveni, alespoň:

  1. Čistěte zuby dvakrát denně - nejen ranně a večer, ale i po každé cigaretě, pokud to jde.
  2. Používejte zubní nit denně - kouření zvyšuje riziko, že plak zůstane mezi zuby.
  3. Navštěvujte zubaře každých šest měsíců - ne jen na kontrolu, ale na profesionální čištění. U kuřáků je to nutnost.
  4. Používejte zubní pastu s fluoridem a protizánětlivými látkami - například s kyselinou chlorhexidinovou.
  5. Pijte vodu po každé cigaretě - pomáhá vypláchnout částice tabáku a způsobit, že sliny fungují lépe.

Neexistuje zubní pasta, která by způsobila, že kouření nebude škodit. Žádný zubní nástroj nezastaví destrukci kosti. Pouze přestání s kouřením má skutečný účinek.

Proč je to důležité vědět?

Nejde jen o to, aby vaše zuby vypadaly lépe. Nejde jen o to, abyste neměli zápach z úst. Nejde jen o to, abyste nemuseli dát zuby na protézu. Jde o to, že zuby jsou součástí celkového zdraví. Parodontitida je spojena s vyšším rizikem infarktu, mrtvice a cukrovky. Když ztrácíte zuby, přestáváte dobře žvýkat - to znamená, že jíte méně zeleniny, ovoce a celozrnných potravin. Výsledkem je horší výživa, zvýšená hmotnost a větší zátěž na srdce. Zuby nejsou jen kousek kosti v ústech. Jsou klíčem k tomu, jak žijete.

Jsou zubní skvrny od kouření trvalé?

Nejsou trvalé, ale jen pokud přestanete kouřit. Profesionální čištění a bělení mohou skvrny odstranit, ale pokud pokračujete v kouření, vrátí se za několik týdnů. Nejlepší řešení je přestat s kouřením - pak se skvrny postupně vyblednou a zuby se mohou samy obnovit.

Může zubní kámen způsobit ztrátu zubů?

Ano. Zubní kámen je tvrdá vrstva plaku, která se pod dásními přemění na zdroj chronického zánětu. Ten ničí kost, která drží zuby. Pokud není odstraněný, zubní kámen je jedním z hlavních příčin parodontitidy a následné ztráty zubů.

Je lepší mít zuby vyměněné za protézy než je zachovat?

Ne. Protézy nejsou náhradou za vlastní zuby. Vlastní zuby jsou lepší pro žvýkání, řeč a dokonce i pro udržení tváře. Protézy se posouvají, způsobují bolest a způsobují, že kost v čelisti postupně mizí. Pokud máte možnost zachovat zuby, je to vždy lepší volba - i když budete potřebovat více péče.

Když přestanu kouřit, mohou zuby znovu zdravět?

Ano, ale jen do určité míry. Zánět dásní se může zlepšit, krevní oběh se obnoví a riziko další ztráty kosti klesne. Ale ztracená kost se nevrátí. Pokud už máte ztrátu kosti, zuby mohou být zachovány, ale budou vyžadovat více péče. Čím dříve přestanete kouřit, tím větší šanci máte zachovat své zuby.

Má kouření vliv i na děti, které jsou v blízkosti kuřáků?

Ano. Děti vystavené pasivnímu kouření mají vyšší riziko zubních kází, zánětů dásní a horšího vývoje zubů. Tabák ovlivňuje i vývoj čelisti a může vést k špatnému zarovnání zubů. To znamená, že kouření nejen škodí vám, ale i lidem kolem vás.