Jak vzniká zánět zubu? Příčiny, průběh a co s tím

Jak vzniká zánět zubu? Příčiny, průběh a co s tím
Zdraví a péče o zuby

Zánět zubu: Výpočet rizika a postup

Vypočtěte si své riziko zánětu zubu

Zadejte informace o svých zubních návykách a zjistěte, jak rychle se může rozvíjet zánět zubu.

Riziková úroveň:

Výsledky

Co byste měli udělat?

Zánět zubu není jen bolest, která vás probudí v polovině noci. Je to vážný proces, který začíná daleko dříve - často ještě předtím, než si vůbec všimnete nějaké změny. Většina lidí si myslí, že zánět vzniká náhle, když se zub začne bolet. Ve skutečnosti je to pomalý, postupný útok bakterií, který se rozvíjí týdny nebo měsíce. A když už se bolest objeví, je často pozdě - zub už není záchranný, jen léčitelný.

Co se vlastně děje uvnitř zubu?

Zub není jen tvrdá hmotnost. Je to složitý orgán s vnitřními kanálky, kde probíhá život - nervy, cévy a tkáně. Když je zub zdravý, je chráněn sklovinou, která je nejtvrdší látkou v lidském těle. Ale sklovina se nedá obnovit. Když ji poškodíte, zůstane poškozená.

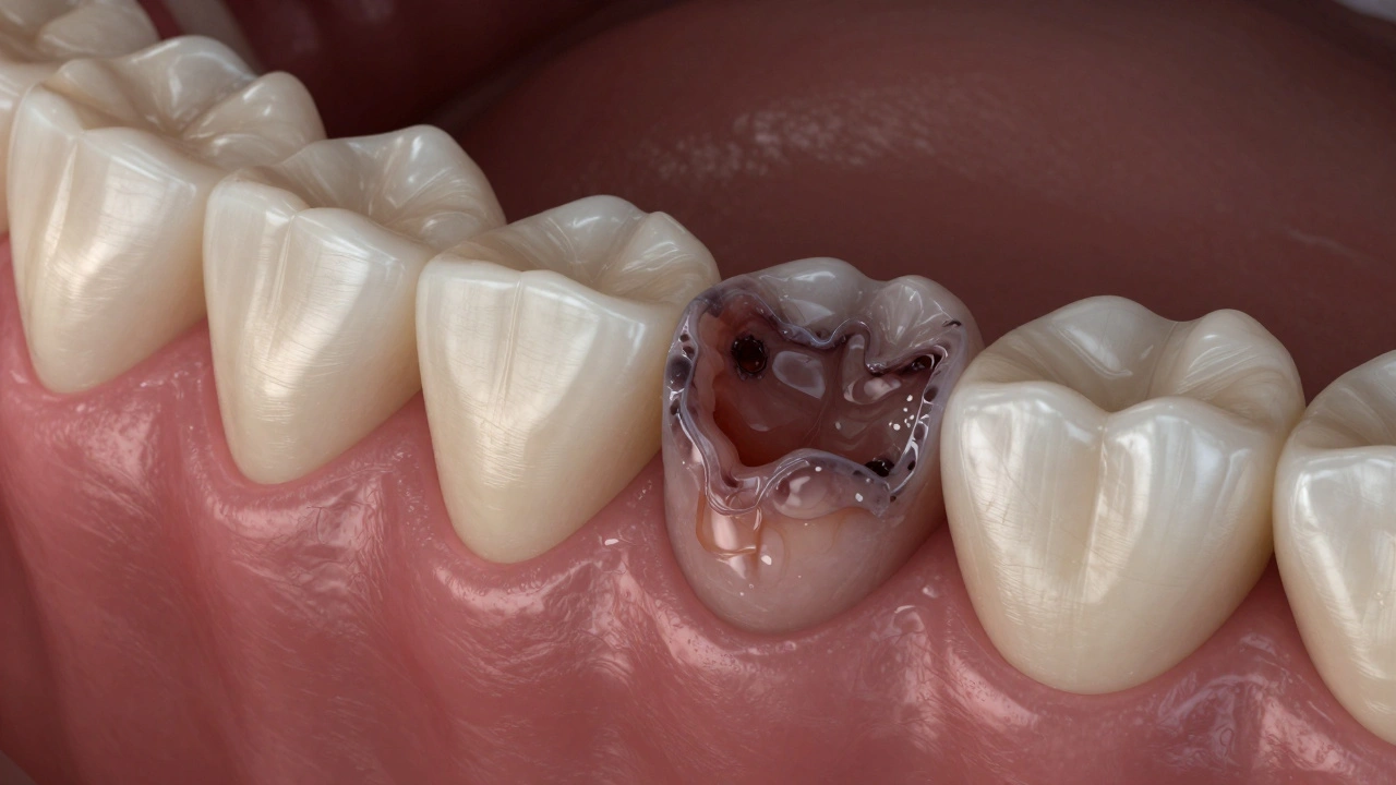
Zánět začíná, když bakterie z ústní dutiny proniknou skrze mikrotrhliny nebo kávovou pleš. Tyto bakterie jsou v každém ústním prostředí - nejsou špatné samy o sobě. Ale když se hromadí, vytvářejí tzv. bakteriální biofilm, který se označuje jako plak. Plak je ten lepkavý, bílý povlak, který se tvoří na zubech po jídle. Když ho neodstraníte, tvrdne na kámen na zubech.

Kámen je nejen nehezký - je to skutečný zdroj infekce. Uvězní bakterie u zubu, kde mají ideální podmínky: teplý, vlhký a plný cukrů z jídla. Tyto bakterie přeměňují cukry na kyseliny, které pomalu rozpouštějí sklovinu. To je kávová zubní pleš. Když se kávová pleš rozšíří do hloubky, dosáhne zubního denu - měkké vrstvy pod sklovinou. Tam se proces zrychluje.

Když kávová pleš dorazí k pultu

Dent je živá tkáň. Obsahuje mikroskopické kanálky, které vedou až k zubním nervům. Když bakterie proniknou do dentu, začnou se šířit k pultu - místu, kde končí kořen zubu a začíná kost. Tady se objeví první skutečné příznaky:

  • Bolest při pohlcování teplého nebo studeného
  • Bolest při kousnutí - jako by zub „praskal“
  • Červené, oteklé dásně kolem zubu
  • Nevolnost nebo zápach z úst

Tyto příznaky nejsou jen „nepříjemné“. Jsou signálem, že infekce se dostala do zubního pultu. V tomto okamžiku se vytváří hnis - tělo se snaží izolovat infekci. Vzniká tzv. absces. To je hnisový výpotek u kořene zubu, který může vyvolat otok tváře, horečku nebo dokonce infekci v krvi.

Proč se to děje právě s některými zuby?

Není náhoda, že záněty často postihují poslední zuby - moudrosti. Tyto zuby mají dlouhé, zakřivené kořeny a často nejsou dobře přístupné k čištění. Také se často nevyrůstají úplně - zůstávají částečně zakryté dásněmi. Tam se hromadí jídlo a bakterie, které se nemohou dostat ani zubní kartáček.

Stejně tak zuby s plomby nebo korunkami jsou zranitelné. Pokud je plomba nebo korunka nevhodně umístěná, vzniká mezera, kam se vkládají bakterie. Více než 60 % zánětů zubů vzniká právě pod starými náhradami.

Největší riziko máte, pokud:

  • Čistíte zuby jen jednou denně
  • Pijete často sladké nápoje nebo jíte sladkosti mezi jídly
  • Nepoužíváte mezizubní kartáček nebo nit
  • Necháváte kámen na zubech dlouho bez očištění
Průřez zubem s bakteriemi šířícími se k pultu

Co se stane, když to necháte?

Největší omyl je myslet, že „když už to bolí, tak už je to špatně a nic to nezmení“. To není pravda. Ale když to necháte, může to vést k následujícímu:

  • Ztráta zubu - když se infekce rozšíří do kosti, zub přijde o podporu a vypadne.
  • Infekce v kosti - kost kolem zubu se začne rozpadat. To je nevratné.
  • Rozšíření infekce - bakterie se mohou dostat do krve a způsobit zánět srdce, plic nebo dokonce mozkového krevního oběhu.
  • Chronickej zánět dásní - to zvyšuje riziko diabetu, srdcových onemocnění a těžkých těhotenství.

Nejde jen o zub. Je to celkové zdraví. Výzkumy z Univerzity v Brně ukazují, že lidé s nelečeným zánětem zubu mají o 40 % vyšší riziko kardiovaskulárních problémů. To není jen „náhoda“. Je to přímá souvislost.

Co můžete udělat, když to začne?

Nejlepší řešení je předcházet. Ale když už cítíte první příznaky:

  1. Nečistěte zub silně - můžete poškodit dásně a zhoršit zánět.
  2. Použijte solný pláchnutí - jedna lžíce soli v půl litru teplé vody. Pláchněte 30 sekund, 2-3x denně. Zmenší to bolest a zpomalí bakterie.
  3. Nejedzte sladké - cukr je palivo pro bakterie. Bez něj se infekce nešíří.
  4. Navštivte zubního lékaře do 48 hodin - pokud je zánět v počáteční fázi, může být léčen bez vytažení zubu.

Nečekáte na „druhý den“. Neříkejte si „to se přejde“. Zánět zubu se nevyřeší sám. Čím dříve se zásah provede, tím větší šance máte zachovat zub a vyhnout se nákladné léčbě.

Co se děje u dětí?

U dětí se zánět zubu objevuje častěji, než si většina rodičů myslí. Dětské zuby mají tenčí sklovinu, takže kávová pleš pronikne rychleji. Když se dítě stěžuje na bolest při jídle nebo odmítá jíst na jedné straně, není to jen „nepohodlí“. Je to varování.

U dětí se často vyskytuje zánět mléčného zubu, který může poškodit trvalý zub pod ním. To znamená, že i když se mléčný zub „brzy vymění“, jeho zánět může mít trvalé následky. Proto je důležité, aby děti navštěvovaly zubního lékaře už od výronu prvního zubu.

Kapka hnisu u kořene zubu s kamenem a štěpky skloviny

Co se děje s kámen na zubech?

Kámen na zubech není jen „špína“. Je to tvrdá, vápenná vrstva, která se tvoří z plaku, který nebyl odstraněn. Když se kámen vytvoří, nemůžete ho odstranit kartáčkem. Pouze zubní lékař ho může odstranit pomocí ultrazvukového přístroje.

Proč je to důležité? Protože kámen je jako „přístav“ pro bakterie. Na jeho povrchu se hromadí desítky tisíc bakterií, které neustále uvolňují kyseliny. Když se kámen nachází pod dásněmi, způsobuje paradentózu - zánět, který ničí kost kolem zubu. A to je hlavní příčina ztráty zubů u dospělých.

Odstranění kamenů je jednoduchá a nebolestivá procedura. Doporučuje se jednou ročně - ne jen když „to bolí“.

Když už je zub ztracený

Někdy je zub příliš poškozený, aby ho bylo možné zachránit. V takovém případě se zub vytrhne. Ale to není konec. Dnes existují možnosti, jak ztrátu zubu napravit:

  • Implantát - umělý kořen z titanu, který se zaroste do kosti. Je to nejtrvalější řešení.
  • Most - zubní náhrada, která je připevněna k sousedním zubům.
  • Zubní protéza - odstranitelná náhrada, vhodná pro více zubů.

Nezapomeňte: každý ztracený zub zatěžuje ostatní. Zbylé zuby se přesouvají, špatně se žvýká, mění se tvář. To všechno má dopad na celkové zdraví, stravu i sebevědomí.

Co dělat dnes?

Zánět zubu není osud. Je to výsledek vašich každodenních návyků. A zároveň to můžete zastavit - pokud začnete teď.

  • Čistěte zuby dvakrát denně - 2 minuty každýkrát.
  • Používejte mezizubní kartáček nebo nit denně.
  • Odstraňujte kámen na zubech jednou ročně.
  • Nejedzte sladkosti mezi jídly - pokud ano, vypláchněte ústa vodou.
  • Navštěvujte zubního lékaře každých 6 měsíců - i když nic nebolí.

Zubní péče není o krásném úsměvu. Je to o tom, abyste měli zuby, které vám nebudou dělat bolest. A abyste mohli jíst, mluvit a spát bez úzkosti.